Understanding Liver Elastography: A Modern Way to Assess Liver Health
What Is Liver Elastography?
Liver elastography is a non-invasive, painless imaging test that measures the stiffness (or elasticity) of your liver. It helps doctors evaluate liver health and detect early signs of fibrosis or scarring—conditions often caused by chronic liver diseases such as hepatitis, fatty liver disease, or alcohol-related liver injury.
Unlike traditional liver biopsy, which requires inserting a needle into the liver, elastography provides a quick, safe, and accurate assessment without discomfort or downtime.
Why Liver Health Matters
Your liver plays a crucial role in digestion, metabolism, detoxification, and storage of essential nutrients. Chronic liver diseases can silently damage liver tissue over time, leading to conditions like:
Fatty Liver Disease (NAFLD/NASH)
Viral Hepatitis (B or C)
Alcoholic Liver Disease
Cirrhosis or Liver Fibrosis
Early detection is key to preventing irreversible damage. That’s where liver elastography becomes an invaluable tool.
How Liver Elastography Works
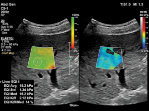
Liver elastography uses ultrasound or MRI-based technology to send gentle vibrations into the liver tissue. The machine then measures how quickly these waves pass through the liver:
Healthy liver tissue is soft and flexible.
Damaged or fibrotic tissue is stiffer, causing the waves to move faster.
The results are displayed as a color-coded map or numerical score, helping your doctor determine the extent of liver stiffness.
Advantages of Liver Elastography
Non-invasive – No needles or surgery required.
Painless & Quick – The test takes only about 10–15 minutes.
Highly Accurate – Detects fibrosis early, often before symptoms appear.
No Recovery Time – You can return to normal activities immediately.
Useful for Monitoring – Helps track liver health over time, especially for those under treatment.
Who Should Get a Liver Elastography Test?
You may be advised to undergo liver elastography if you:
Have elevated liver enzymes in blood tests
Suffer from chronic hepatitis B or C
Have been diagnosed with fatty liver disease
Consume alcohol regularly
Have diabetes, obesity, or metabolic syndrome
Are on long-term medications that affect the liver
Your doctor may recommend periodic elastography scans to monitor liver condition and treatment progress.
Preparing for the Test
Preparation is simple:
Avoid eating for 2–3 hours before the test
Wear comfortable clothing
No special medication adjustments are needed (unless advised)
The entire process is performed by a trained radiologist or technician and usually takes less than 20 minutes.
Interpreting the Results
The results are expressed in kilopascals (kPa) or as a fibrosis score (F0–F4):
F0–F1: Normal to mild fibrosis
F2–F3: Moderate fibrosis
F4: Advanced fibrosis or cirrhosis
Your doctor will review these findings along with other clinical data to form a complete diagnosis and treatment plan.
Why Choose Our Clinic for Liver Elastography
At Surya Diagnostics, we use state-of-the-art elastography technology to provide fast, reliable liver assessments. Our expert radiologists ensure accurate results and personalized guidance for each patient. Whether for routine screening or ongoing liver disease management, we are committed to your long-term liver health.
Take the Next Step Toward a Healthier Liver
If you’re at risk of liver disease or want to monitor your liver condition, schedule a Liver Elastography Test today.
📞 Call us at 8181817824/ 8181817834/ 8181817822
📍 Visit Surya Diagnostics, S-16/17, 2nd Floor, DC1, Nanded City , Pune -411041
💬 Book Online: [www.suryadiagnosticscenter.com]
