🧠 CT Scan with 3D Reconstruction at Surya Diagnostics Center, Nanded City, Pune
Advanced Imaging That Brings Clarity, Precision, and Confidence to Every Diagnosis
At Surya Diagnostics Center, Nanded City, Pune, we believe that accurate diagnosis is the foundation of effective treatment. Our CT Scan with 3D Reconstruction service represents the pinnacle of modern diagnostic imaging — combining ultra-fast scanning technology with advanced 3D image processing for precise visualization of internal organs, bones, and soft tissues.
⚙️ What Is a CT Scan with 3D Reconstruction?
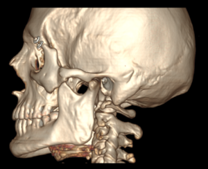
A CT (Computed Tomography) Scan uses X-rays and computer processing to create detailed cross-sectional images of the body.
With 3D Reconstruction, these 2D slices are digitally combined to produce three-dimensional views of the scanned area.
This technology allows doctors to:
View anatomy from multiple angles
Detect even subtle abnormalities
Plan surgeries and interventions more accurately
Understand complex fractures or vascular pathways
In simple terms — it’s like seeing your internal anatomy in 3D, providing deeper insights than standard CT or X-ray imaging.
🩺 Why 3D Reconstruction Matters
3D reconstructed CT scans are invaluable for:
Bone and joint injuries – visualizing fractures, deformities, and implant planning
Head and brain scans – evaluating trauma, bleeding, or tumors
Chest and lungs – assessing nodules, infections, or vascular anomalies
Abdomen and pelvis – diagnosing tumors, stones, and organ diseases
ENT and dental – sinus, jaw, and facial bone studies
Vascular imaging (CT Angiography) – visualizing arteries and veins in stunning detail

By offering 3D reconstructions, Surya Diagnostics helps referring doctors make faster, clearer, and more confident clinical decisions.
🏥 Why Choose Surya Diagnostics Center, Nanded City, Pune?
At Surya Diagnostics, we blend cutting-edge imaging technology with a patient-first approach.
🌟 Our Special Qualities for CT Scan with 3D Reconstruction:
High-Resolution Multi-Slice CT Scanner
Delivers ultra-fast scans with minimal radiation exposure and unmatched image clarity.
Advanced 3D Image Processing Software
Enables accurate 3D reconstruction, volume rendering, and virtual modeling for surgical and diagnostic precision.
Expert Radiologists and Technologists
Our team is trained in advanced post-processing techniques and clinical interpretation of complex CT data.
Comprehensive Range of CT Studies
Head, chest, abdomen, pelvis, spine, CT angiography, HRCT lungs, dental CT, and more — all performed under one roof.
Patient Safety and Comfort
We follow strict radiation safety protocols and ensure every patient feels comfortable throughout the process.
Quick Turnaround Time
Most CT reports, including 3D reconstructions, are delivered within hours, helping doctors make prompt treatment decisions.
Trusted by Leading Hospitals & Specialists in Pune
Our CT and 3D reconstruction services are relied upon by orthopaedic surgeons, neurosurgeons, ENT specialists, and general physicians across the city.
🕒 The CT Scan Process at Surya Diagnostics
Appointment & Preparation:
For some scans, fasting or contrast dye may be required. Our staff will provide complete instructions.
Scanning:
The patient lies comfortably on a table that moves through the CT gantry. The scan is quick and painless, usually taking 5–10 minutes.
3D Reconstruction:
After scanning, our radiologists perform advanced post-processing to create 3D images and virtual models.
Reporting:
High-quality images and expert reports are shared digitally and in print, typically on the same day.
💬 Applications of CT 3D Reconstruction
Pre-surgical planning for orthopaedic and maxillofacial surgeries
Dental implant assessment and jaw reconstruction planning
Vascular mapping before cardiac or peripheral interventions
Tumor localization and staging
Post-operative evaluation and follow-up imaging
This technology transforms complex medical information into clear visuals — improving diagnosis, planning, and patient education.
🌿 Excellence in Every Scan
At Surya Diagnostics Center, Nanded City, Pune, we are committed to bringing world-class imaging within your reach. Our CT Scan with 3D Reconstruction service reflects our mission to provide precision, safety, and compassion in every test we perform.
Whether you need routine imaging or advanced 3D diagnostics, our experienced radiology team ensures that you receive accurate results, quickly and comfortably.
📍 Contact Us
Surya Diagnostics Center
S-16/17, 2nd Floor, Destination Centre 1,
Nanded City, Sinhgad Road, Pune 411041
📞 +91 81818 17824
🌐 www.suryadiagnosticscenter.com
Experience the next generation of medical imaging — with clarity you can trust, at Surya Diagnostics Center, Nanded City, Pune.
