🌸 Cervical Elastography: A Modern Approach to Women’s Health at Surya Diagnostics Center
Understanding Cervical Elastography
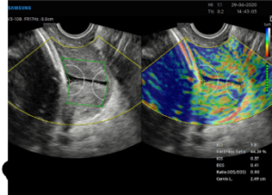
Cervical elastography is an advanced ultrasound technique that evaluates the stiffness (elasticity) of the cervix. Unlike a routine ultrasound, elastography provides quantitative information about cervical tissue, helping doctors assess conditions related to pregnancy, infertility, and cervical disorders with greater precision.
By measuring how soft or firm the cervical tissue is, elastography offers valuable insight into:
Preterm labor risk — Softening of the cervix before term may indicate early labor.
Cervical insufficiency — Detecting weakness in cervical structure early helps guide management.
Fertility assessments — Evaluating cervical tissue quality can assist in infertility workups.
Post-treatment monitoring — After cervical surgery or procedures, elastography helps assess recovery and tissue response.

Why Cervical Elastography Matters
Traditionally, assessing the cervix relied on manual examination or standard ultrasound, both of which provide limited information. Elastography adds a functional dimension — it helps clinicians “see beyond” structure and understand how the cervix behaves under pressure, allowing for:
Early detection of problems before symptoms appear
More accurate monitoring during pregnancy
Personalized care plans based on measurable data
Cervical Elastography at Surya Diagnostics Center
At Surya Diagnostics Center, we take pride in offering state-of-the-art cervical elastography as part of our comprehensive women’s health imaging services. Our center is equipped with advanced ultrasound systems that deliver high-resolution imaging with elastography capability for the most accurate results.
Our key advantages:
✅ Experienced Radiologists — Trained in advanced ultrasound and elastography interpretation
✅ High-end Equipment — Cutting-edge ultrasound machines for precise measurement
✅ Comfort & Privacy — A patient-friendly, compassionate environment
✅ Integrated Care — Collaboration with gynecologists and obstetricians for holistic management
We aim to provide women with the best diagnostic experience — accurate, comfortable, and timely.
Who Should Consider Cervical Elastography?
Your doctor may recommend cervical elastography if you are:
Pregnant and have a history of preterm delivery
Experiencing recurrent pregnancy loss
Undergoing evaluation for infertility
Have undergone cervical procedures (like LEEP or conization)
Needing follow-up for cervical conditions
The Surya Diagnostics Commitment
At Surya Diagnostics Center, we believe that early and accurate diagnosis leads to better outcomes. Cervical elastography is one of the many innovations we have introduced to bring global-standard diagnostics closer to our patients.
Our mission is simple — Precise Diagnosis. Personalized Care. Peace of Mind.
📍 Visit Surya Diagnostics Center
For appointments or more information about cervical elastography and other advanced imaging services,
📞 Call: 8181817824/ 8181817834
📍 Visit: S16/17, 2nd floor, DC1, Nanded City, Pune
đź’¬ Book Online: [www.suryadiagnosticscenter.com]
Â
